Gallery
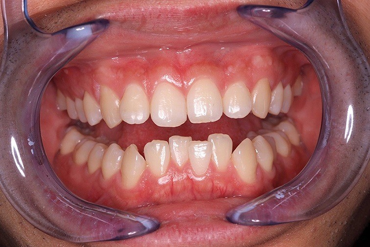
Here we show our own patient cases.
Prior to treatment and after treatment.
Veneers



Smiledesign
Patient wanted better bite-function and Hollywood White colour.




Implantat
The Patient wanted fixed teeth in upper and lower jaw.
Treatment: 2 Bridges on implants


Invisalign
The patient wanted straight teeth in both upper and lower jaw.
We decided to do Invisalign.




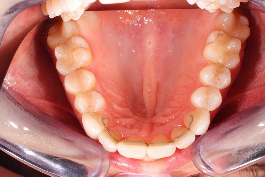
Inman Aligner
The patient wanted straight teeth in the front in the lower jaw.
We decided to do the Inman Aligner treatment.


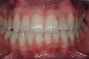
LiteWire



Book your dentist appointment online