Mange voksne ønsker at få rettet deres tænder. Måske blev de ikke tilbudt tandreguleringen i skoletiden, eller måske takkede de dengang nej, og nu står de med et ønske om lige tænder. For mange er tanken om konventionel tandregulering med togskinner i et par år ikke sagen.
Hvis du som voksen ønsker at få rettet dine tænder af kosmetiske årsager, dvs. du ikke har nogle funktionelle problemer med dit bid, men blot er ked af et par strittende fortænder, skæve hjørnetænder, eller generes over ikke at kunne holde de for tætsiddende tænder rene, så kan LiteWire være en udmærket løsning.
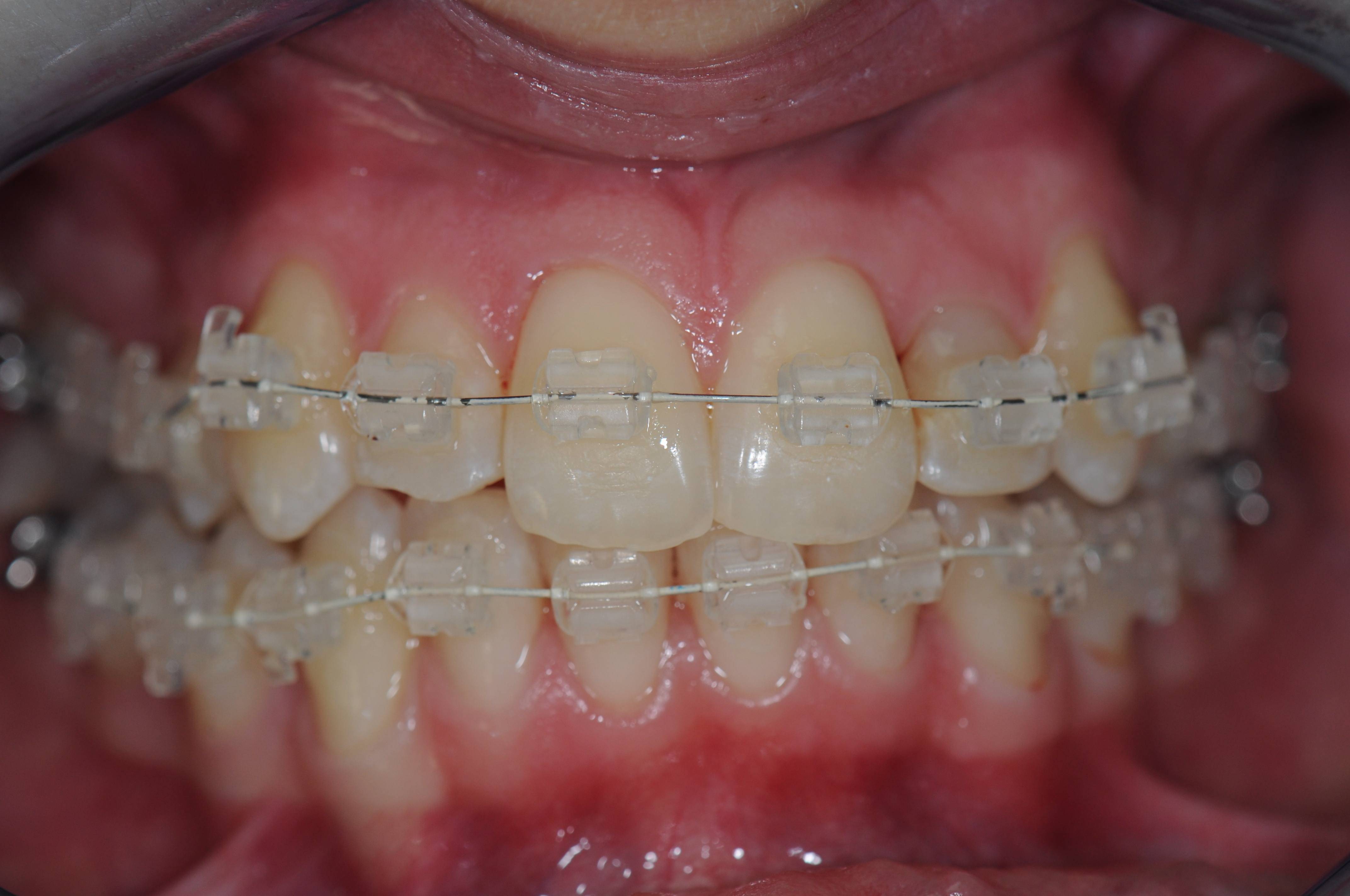
LiteWire er et danskproduceret tandretningssystem, der hurtigt kan rette dine tænder. Der fokuseres på en æstetisk forbedring af smilet med nivellering og opretning af de forreste tænder. Dvs. de tænder du viser, når du smiler. De bagerste tænder og måden du tygger sammen på, ændres ikke. Derfor er behandlingstiden betydelig kortere end med traditionelle bøjler. Det minder om togskinner, men da de konventionelle stålbrackets er udskiftet med gennemsigtige krystalbrackets, og wiren er hvid, er æstetikken optimal. Desuden kræver behandlingen ikke, at der skal sidde noget bagpå tænderne, så i modsætning til mange andre systemer, påvirkes talen ikke. En af vores patienter fortalte os, at hun samme dag, hun havde fået påsat LiteWire havde været til stor familiemiddag, og ikke én af hendes familiemedlemmer havde opdaget, at hun havde fået sat det på. En anden har fortalt, at de fleste af hendes veninder var skeptiske, inden hun påbegyndte behandlingen, da de ikke kunne forestille sig at skulle have fast apparatur som voksen – vi behandler nu flere af disse veninder.
Så kort og godt: Ønsker du at få rettet dine tænder i løbet af få måneder (typisk 4-6 mdr.), uden at folk omkring dig skal lægge mærke til det, og uden selv at have gener, så er LiteWire måske løsningen. Kom ind og hør mere!
